Reģistrējieties vizītei

Sazinieties ar!

Miglė Liukpetrytė

Zobārsts / licencijos nr. opl-05481

Zobārste, kas specializējas zobu restaurācijā, estētiskajā plombēšanā un protezēšanā, viņa palīdz pacientiem sasniegt apburošus rezultātus, nodrošinot veselīgu un funkcionālu smaidu.

Reģistrējieties apmeklējumam
ornament
Miglė Liukpetrytė

Izglītība, profesionālā kvalifikācija, dalība

✣ No 2014. līdz 2019. gadam viņa studēja Lietuvas Veselības zinātņu universitātē un ieguva zobārsta kvalifikāciju.

Kursi, semināri

✣ 2024 01 26 “Vēlu zobu implantu un protēžu komplikāciju profilakse un ārstēšana”.

✣ 2024 01 19 “Pilna mutes dobuma rekonstrukcija no zobiem līdz temporomandibulārajai locītavai”.

✣ 2023 07 14 “Smagi bojāta zoba BOPT sagatavošana un restaurācija”.

✣ 2023 05 22 “Atrofēta apakšžokļa ārstēšana ar izņemamām protēzēm ar fiksāciju uz zobu implantiem”.

✣ 2021 11 12 “Bite pacelšana ar kompozītu. Ar un bez vāciņa”.

✣ 2021 11 05 “Zobu atjaunošana ar kompozītu. No adhēzijas līdz pulēšanai”.

✣ 2021 10 09 “Biomimētiskais princips adhezīvajā restauratīvajā zobārstniecībā”.

✣ 2021 09 11 Ordoline simpozijs „Expand the range of your treatment with aligners“.

✣ 2021 03 23 “Estētiskās restaurācijas pēc ortodontiskās ārstēšanas”.

✣ 2020 12 04 “Ikdienas estētiskās restaurācijas priekšējiem zobiem”.

✣ 2020 11 29 “Protezēšana estētiskajā zonā”.

✣ 2020 08 27 “Estētiskās restaurācijas. Anatomija un pulēšana”.

✣ 2019 12 06 “Uz implantiem balstītas protezēšanas pamati”.

✣ 2019 11 16 “Jauna pieeja zobārstniecības prakses efektivitātei”.

✣ 2019 05 17 “Straumann forum”.

✣ 2017 10 28 “Mūsdienu implantācijas un protezēšanas metodes”.

✣ 2017 03 31 “Kā risināt sarežģītus endodontijas gadījumus ikdienas zobārstniecības praksē”.

Paveiktais darbs

Miglė Liukpetrytė

Miglė Liukpetrytė

Zobārsts

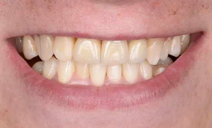
Pacientam trūka augšējo priekšējo zobu. Protēze tika izgatavota ar cirkonija keramikas kroņiem uz implantiem un paša pacienta zobu. Ārstēšanas rezultātā tika atjaunota zobu estētika un funkcija.

Miglė Liukpetrytė

Miglė Liukpetrytė

Zobārsts

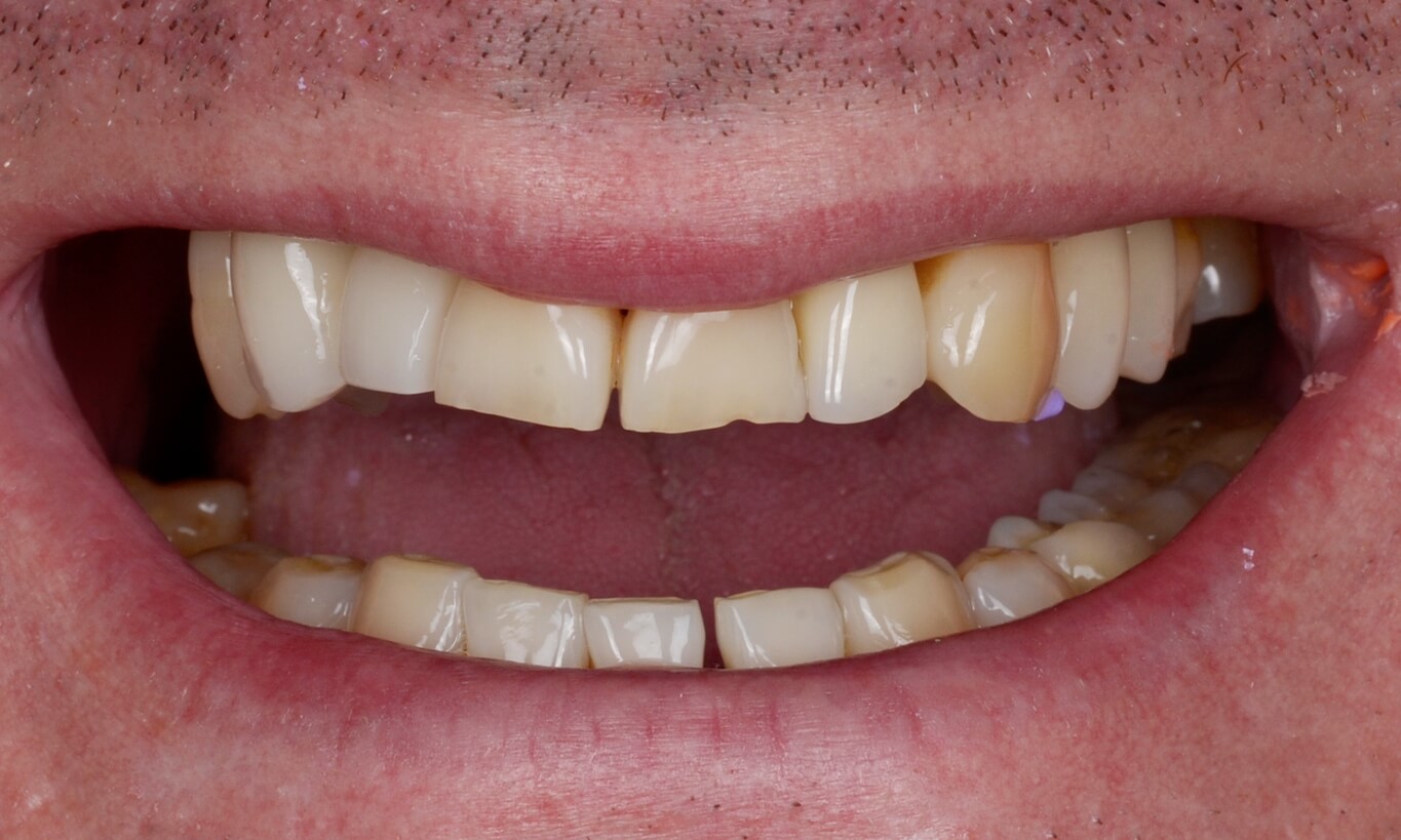
Pēc sakodiena pacelšanas pacientam tika veikta apakšžokļa priekšējo zobu estētiskā restaurācija un sānu zobu protezēšana uz vītņotiem implantiem. Arī augšžokļa zobi tika protezēti, izmantojot finierus un kroņus.

Veselīgs smaids sākas no šeit Veselīgs smaids sākas no šeit

Veselīgs smaids sākas no šeit

Nāciet un apmeklējiet mūsu zobārstniecības klīniku, aizpildot reģistrācijas formu.

Reģistrējieties apmeklējumam
Citi ieteicamie ārsti

Zobārstniecības klīnikā strādā profesionāļu komanda, kas rūpējas par jūsu smaida skaistumu un veselību.