Reģistrējieties vizītei

Sazinieties ar!

Gertrūda Sūdžiūtė-Gurnienė

Ortopēds zobārsts / licencijos nr. opl-05210 ir opl-04524

Zobu protezēšanas, funkcionālo un estētisko plombu, sakodiena pacelšanas un daudzu citu procedūru speciāliste ir ļoti rūpīga un palīdz jums sasniegt vislabākos rezultātus.

Reģistrējieties apmeklējumam
ornament
Gertrūda Sūdžiūtė-Gurnienė

Izglītība, profesionālā kvalifikācija, dalība

✣ 2009. gadā viņa absolvēja Kauņas jezuītu ģimnāziju.

✣ 2014. gadā viņa absolvēja Lietuvas Veselības zinātņu universitāti un ieguva zobārsta kvalifikāciju.

✣ 2014. gadā viņš uzsāka ortopēdijas zobārstniecības rezidentūras studijas Lietuvas Veselības zinātņu universitātē.

✣ 2014. gadā viņa strādāja par ārsti-rezidentu Lietuvas Veselības zinātņu universitātes slimnīcas Kauņas klīnikas Zobu un sejas un žokļu ortopēdijas klīnikā.

✣ No 2014. līdz 2016. gadam viņa strādāja par zobārsti zobārstniecības klīnikā &Smile.

✣ 2016-2017 strādāja Kauņas Ortodontijas centrā.

✣ 2016. gadā viņa strādāja par asistenti Lietuvas Veselības zinātņu akadēmijas Zobārstniecības fakultātes Zobu un sejas un žokļu ortopēdijas klīnikā.

✣ 2017. gadā viņa strādāja Ortovitas zobārstniecības centrā.

✣ 2018. gadā viņš strādāja uzņēmumā MIR Global.

✣ No 2010. līdz 2014. gadam viņa bija Zobārstu studentu zinātniskās biedrības un Zobu un sejas un žokļu ķirurģijas biedrības biedre.

✣ 2014. gadā viņa kļuva par Lietuvas Zobārstu kameras biedri.

✣ 2015. gadā viņa kļuva par Lietuvas Zobārstu ortopēdu biedrības biedri.

Kursi, semināri

✣ 2010 11 12–13 Starptautiskā konference „Challenges and Achievements In Restorative And Functional Dentistry“, Kauņa (Lietuva).

✣ 2011 05 6–7 Konference “Inovācijas un aktualitātes zobārstniecības praksē”, Palanga (Lietuva).

✣ 2012 09 7–8 4. starptautiskais BOA kongress, Kauņa (Lietuva).

✣ 2012 10 19–20 The 4th Baltic Science Conference in Dentistry, Tartu (Igaunija).

✣ 2012 10 26–27 Starptautiskā Austrumeiropas konference “Kraniomandibulāro traucējumu starpdisciplinārie aspekti”, Kauņa (Lietuva).

✣ 2012 11 23–24 Starptautiskā zinātniskā un praktiskā konference “Endobaltic 2012”, Viļņa (Lietuva).

✣ 2012 11 29–30 Starptautiskā konference „Today vs. the Future. Modern and future technologies“, Kauņa (Lietuva).

✣ 2012 04 20–21 Konference “Inovācijas un aktualitātes zobārstniecības praksē”, Palanga (Lietuva).

✣ 2013 09 13–14 Piektais starptautiskais BOA kongress, Kauņa (Lietuva).

✣ 2013 11 14–16 Starptautiskā konference „Perfection in Dentistry. World Leaders‘ Aims and Achievements“, Kauņa (Lietuva).

✣ 2013 04 19–20 Konference “Inovācijas un aktualitātes zobārstniecības praksē”, Palanga (Lietuva).

✣ 2013 05 10–11 Konference “Digitālā zobārstniecība šodien”, Viļņa (Lietuva).

✣ 2014 04 04–05 Konference “Inovācijas un aktualitātes zobārstniecības praksē”, Palanga (Lietuva).

✣ 2014 05 30–31 Starptautiskais kongress “No idejām līdz sasniegumiem”, Druskininkai (Lietuva).

✣ 2015 01 24 Seminārs “EFP protokols un adhezīvā zobārstniecība: diagnostika un ārstēšanas plānošana vienkāršā un sarežģītā sakodiena rehabilitācijā”, Kauņa (Lietuva).

✣ 2015 04 24–25 “Inovācijas un aktualitātes zobārstniecības praksē”, Palanga (Lietuva).

✣ 2015 05 09 LOOD konference “Komplikāciju profilakse ortopēdiskajā zobārstniecībā”, Kauņa (Lietuva).

✣ 2015 06 12–13 Fotogrāfijas kursi „From macro to micro“ (C. A. Ayala Paz), Viļņa (Lietuva).

✣ 2015 07 04–05 „Bio-Emulation Colloqium“, Berlīne (Vācija).

✣ 2015 07 04 Kursai „Bio-Emulation Colloqium hands on“, „Priekšējo zobu kompozītmateriālu restaurācijas“ (Javier Tapia), Berlīne (Vācija).

✣ 2015 09 25–26 European Associacion for Osseointegration Ikgadējais kongress, Stokholma, Zviedrija.

✣ 2016 10 15 The 4th MegaGen European Scientific Meeting in London, Londona (Apvienotā Karaliste).

✣ 2017 05 12–13 Starptautiskā konference “PRO|Atjaunākā atjaunojošā zobārstniecība”, Viļņa (Lietuva).

✣ 2017 06 03 The 5th MegaGen European Scientific Meeting in Barcelona, Barselona (Spānija).

✣ 2017 10 28 “Mūsdienu implantācijas un protezēšanas metodes”, Kauņa (Lietuva).

✣ 2018 05 04–05 “(R)evolūcija ortopēdiskajā zobārstniecībā”, Kauņa (Lietuva).

✣ 2018 09 15–10 25 “Intensīvie Adobe kursi (Photoshop, Illustrator, Lightroom)”, Kauņa (Lietuva).

Zinātniskās darbības

✣ 2011 – “Košļājamās funkcijas efektivitātes pētījumu metodes”, “Inovācijas un aktualitātes zobārstniecības praksē”.

✣ 2011 m. „Methods for evaluation of masticatory performance and efficiency: a literature review“, International Health Science Conference.

✣ 2012 m. „Influence of immediate dentin sealing on marginal microleakage of indirect composite resin restaura-tions“, 4th Baltic Scientific Conference in Dentistry.

✣ 2013 “Tūlītējas dentīna līmēšanas sistēmas ietekme uz zobu protēžu ar netiešajām restaurācijām mikropermēslojumu”, “Inovācijas un aktualitātes zobārstniecības praksē”.

✣ 2013 – “Profesionālajā mutes dobuma higiēnā izmantoto materiālu ietekme uz restauratīvo materiālu virsmas raupjumu”, “Inovācijas un aktualitātes zobārstniecības praksē”.

✣ 2013 “Atlikušā kalcija hidroksīda ietekme uz sakņu kanālu restaurāciju kvalitāti: optiskais mikroskopiskais pētījums”, “Inovācijas un aktualitātes zobārstniecības praksē”.

✣ 2013 “Profesionālajā mutes dobuma higiēnā izmantoto materiālu ietekme uz restauratīvo materiālu virsmas raupjumu”, “Digital Dentistry Today”.

✣ 2013 m. „Dentino padengimo adhezyvine sistema metodikų palyginamoji charakteristika“, „Skaitmeninė odonto-logija šiandien“.

✣ 2013 “Neatdalītā kalcija hidroksīda ietekme uz sakņu kanālu restaurāciju kvalitāti”, “Digital odonto-logy today”.

✣ 2013 “Tūlītējas dentīna saistīšanas sistēmas ietekme uz netiešo restaurāciju mikropermabilitāti”, SMD Zobārstniecības sekcijas konference.

✣ 2013 “Atjaunošanas materiālu virsmas raupjuma izmaiņu novērtējums pēc dažādu profesionālo mutes higiēnas līdzekļu lietošanas”, SMD Zobārstniecības sekcijas konference.

✣ 2013 “Ar ultraskaņu aktivizētas irigācijas ietekme uz sakņu kanālu restaurāciju kvalitāti pēc kalcija hidroksīda apstrādes”, SMD Zobārstniecības sekcijas konference.

✣ 2013 “Tūlītējās dentīna saistīšanas sistēmas ietekme uz mikropermabilitāti netiešajās restaurācijās”, SMD plenārsesija.

✣ 2013 “Zinātniskā darba organizācija”, SMD Zobārstu biedrības sanāksme.

✣ 2013 m. „Roughness of the restorative materials influenced by different polishing materials for professional oral hygiene“, International Health Science Conference.

✣ 2013 m. „Influence of immediate dentin sealing on marginal microleakage of indirect composite resin restorati-ons“, International Health Science Conference.

✣ 2013 m. „Influence of passive ultrasonic irrigation on final canal obturation quality after calcium hydroxide medi-cation”, International Health Science Conference.

✣ 2013 “Restaurācijas materiālu virsmas raupjuma izmaiņu novērtējums pēc dažādu profesionālās mutes dobuma higiēnas līdzekļu lietošanas”, Lietuvas Zobārstu kameras starptautiskais kongress “Odontoloģija cilvēka veselībai”.

✣ 2013 “Tūlītējas dentīna pārklājuma līmēšanas sistēmas ietekme uz zobu protēžu ar nekortikālām restaurācijām mikropermēslojumu”, Lietuvas Zobārstu kameras starptautiskais kongress “Odontoloģija cilvēka veselībai”.

✣ 2014 “Zinātnisko referātu prezentācijas estētika”, SMD Mutes un žokļu ķirurģijas sekcijas konference.

✣ 2014 “Statiskās slodzes sadalījums ap zobu implantiem kaulu imitējošā materiālā”, SMD Mutes un žokļu ķirurģijas sekcijas konference.

✣ 2014 “Tradicionālo un taustes kompozītu nodiluma kvantitatīvā un kvalitatīvā analīze”, SMD Zobārstniecības sekcijas konference.

✣ 2014 – “Kompozīti mūsdienu zobārstniecībā”, konference “Advances in Dentistry – Towards Perfection”.

✣ 2014 “Tradicionālo un taustes kompozītu nodiluma kvantitatīvie un kvalitatīvie salīdzinošie raksturojumi”, “Inovācijas un aktualitātes zobārstniecības praksē”.

✣ 2014 “Statiskās slodzes sadalījums ap zobu implantiem kaulu imitējošā materiālā”, Starptautiskais kongress “No idejas līdz sasniegumiem”.

✣ 2017 05 12-13 “Minimāli invazīvā protezēšana dažādām vecuma grupām”, Starptautiskā konference “PRO|Atjaunākā atjaunojošā zobārstniecība”, Viļņa (Lietuva).

✣ 2012 m. Balciute Gabriele Vilma, Sudziute Gertruda, Zekonis Gediminas. Influence of immediate dentin sealing on marginal microleakage of indirect composite restorations. Stomotologija, Baltic Dental and Maxillofacial Jour-nal, 2012, Vol. 14, Suppl. 8 (Publicēts raksts).

✣ 2017 m. Lithium disilicate ceramic roughness evaluation after different finishing methods and comparison before and after surface reduction and intraoral polishing imitation. (Publicēts raksts).

✣ Auškalnis, Adomas; Zobu un mutes slimību klīnika. Žekonis, Gediminas; Zobu un sejas un žokļu ortopēdijas klīnika; Sūdžiūtė, Gertrūda; Zobu un sejas un žokļu ortopēdijas klīnika; Milčius, Darius ; Lietuvas Enerģijas institūts. European International Journal of Science and Technology Vol. 6. Nr. 3(2017) p. 63-76. ISSN: 2304-9693.

✣ Starptautiskajā konkursā “2014 DENTSPLY Student Clinician Research Program 2014” prezentēta zinātniskā darbs “Influence of immediate dentin sealing on marginal microleakage of indirect composite resin restorations”.

✣ Dalība Starptautiskajā estētisko restaurāciju konkursā, klīniskā gadījuma prezentācija, The Global CeramX Case Contest 2013/14, DENTSPLY.

Paveiktais darbs

Gertrūda Sūdžiūtė-Gurnienė

Gertrūda Sūdžiūtė-Gurnienė

Ortopēds zobārsts

Gertrūda Sūdžiūtė-Gurnienė

Gertrūda Sūdžiūtė-Gurnienė

Ortopēds zobārsts

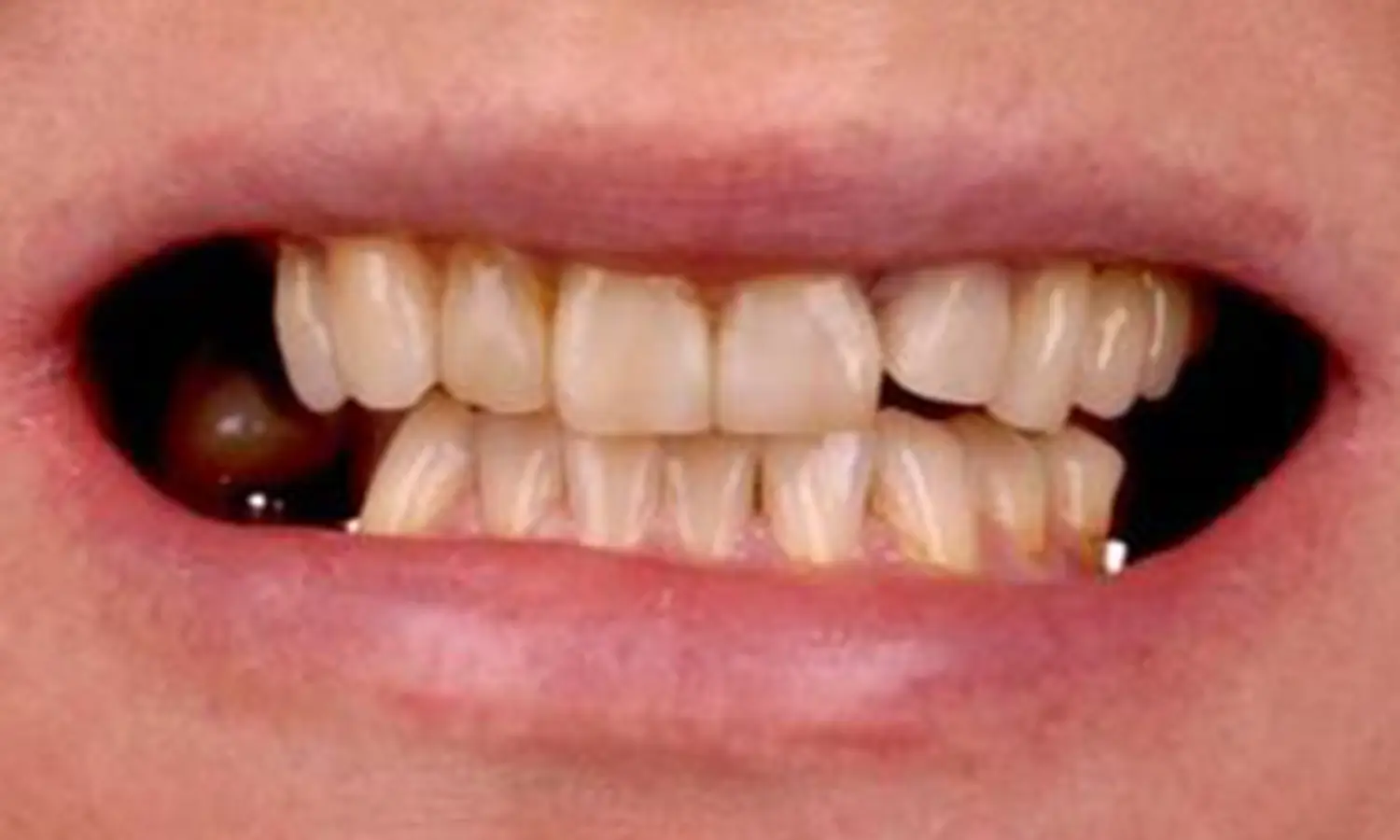
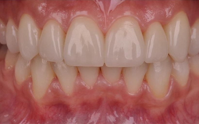
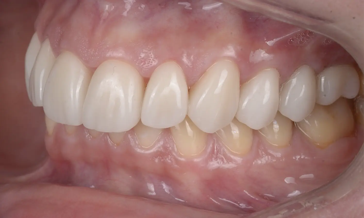
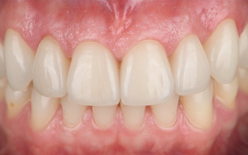
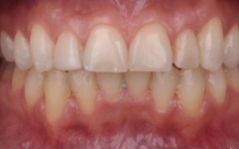
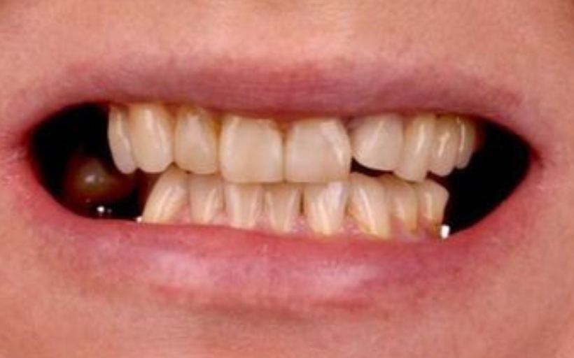
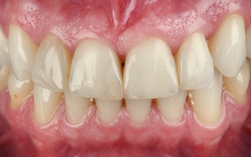
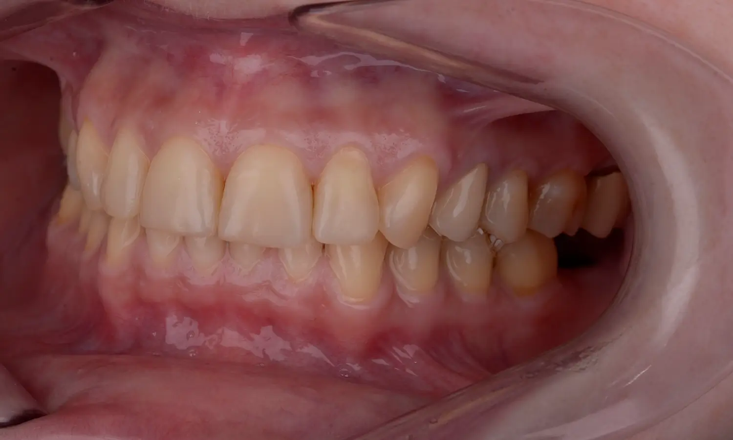
Paciente ieradās mūsu klīnikā, jo atšķīrās viņas zobu krāsa/forma, bija atšķirīga smaganu kontūra un lielas plombas priekšējā daļā. Gatavojoties ārstēšanai, mēs vispirms veicām nepieciešamos izmeklējumus un novērtējām pašreizējo mutes dobuma stāvokli. Nākamās vizītes laikā periodonta operācijas laikā atjaunojām smaida harmoniju. Vēlāk zobus aizvietojām ar keramikas finieriem un cirkonija keramikas kronīti uz implanta.

Gertrūda Sūdžiūtė-Gurnienė

Gertrūda Sūdžiūtė-Gurnienė

Ortopēds zobārsts

Gertrūda Sūdžiūtė-Gurnienė

Gertrūda Sūdžiūtė-Gurnienė

Ortopēds zobārsts

Gertrūda Sūdžiūtė-Gurnienė

Gertrūda Sūdžiūtė-Gurnienė

Ortopēds zobārsts

Veselīgs smaids sākas no šeit Veselīgs smaids sākas no šeit

Veselīgs smaids sākas no šeit

Nāciet un apmeklējiet mūsu zobārstniecības klīniku, aizpildot reģistrācijas formu.

Reģistrējieties apmeklējumam
Citi ieteicamie ārsti

Zobārstniecības klīnikā strādā profesionāļu komanda, kas rūpējas par jūsu smaida skaistumu un veselību.